80 W. Hillcrest Blvd., Suite 214, Schaumburg, IL 60195















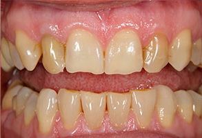
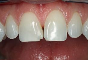
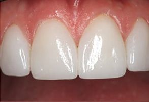
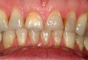
Our goal is to help every patient experience the benefits of good oral health and a beautiful smile. We value the trust you have placed in our office and strive to provide solutions that meet your dental needs and expectations of care.
Phone